Heart Cath

Not as bad as it is made out to be

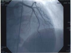
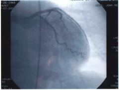
Because of some lingering abdomen pain I had a heart cath done last Friday afternoon. I went to one of the major hospitals in St Louis (Mo Baptist) for this. I had to have lab work done so I had to arrive 2hrs prior to the scheduled time. After having that done Dave and I proceeded to the Heart Cath Lab. Not too bad of a place. There were several people in the waiting area and we joined them. I went to the back for prep 30 minutes prior to my scheduled timeof 1500 (3PM) They had me put on the normal hospital attire and started IV and hooked up the cabels to monitor my heart, blood pressure and oxygen intake. Then the wait came. I knew who had entered the waiting area before me so I waited for her to go and then thought I would be next. That IS what happened but I didn;t get in until 1730 (5:30) You walked to the actual test room after having made a stop at the restroom. The room ispretty cold but they cover you with warm blankets. There are two choices as to how to enter the blood veins and after some consideration the doctor chose the most common site or the groin area. They prep the area and wipe with some sterile solution and then place a rather heavy cover on top of you This has a hole cut in the center for the procedure. Because of a previous reaction to CT dye Ihad to be pretreated with Prednisone. 10 minutes to the procedure the doctor starts asking you some typical heart questions and they put some relaxing medication in the IV. After the doctor is satisfied they check your blood pressure one more time and take your pulse andrespirations and then they are ready tostart. The doctor said I would feel a stick sort of like a bee sting and that is exactly what it felt like. That was the last thing I felt. They then place the tube into the vein and start. The dye is placed in the tube and they check your blood pressure as they do this. Mine never got over 105/70. The normal reaction after the dye is injected is a very warm feeling and many get a flushed face. I had neither of these happen. There are computer/tv monitors there that you can watch the procedure if you so desire. I chose NOT to watch. The doctore will let you know what they find. If there is work to be done they do it right then. Such as a stynt put in or balloon surgery. Anything else you head to surgery. I was told there everything looked good and was then taken back to my room. Once there the doctor met with Dave and anyone else who is waiting and tells them theresults. I was lying flat in bed with LOTS of pressure applied to my incision area for 20 minutes. After this there was a 5lb bagof sand placed over the incision site . It isusually 10lbs but they opted to use a smaller bag on me. This must remain there for 2hrs with no movement of the leg with the sand bag onit. Thisresults in VTB (very tired behind) After this time you are allowd to get dressed and go home. However, you are only to go up stairs once per day for the next 2-3 days and you are vey limited in the mobility of the leg they did the procedure on. All in all it was a very pleasant experience not what I had expected. Not sure what I expected but it was not bad at all. The worst part is the recoup time afterwards. I had lots of prayer-ers working for me also and that helped extremely. There was no problem found. I go to the doctor on Wednesday and will post again after this as to his comments.
Thanks for reading.

Heart 1 Heart 2
Heart 3 Heart 4

Leave a Reply

Your email address will not be published. Required fields are marked *